Call me back

We’re Accepting New Patients!

Read More Next

Looking for a caring and professional dental practice? We’re excited to welcome new patients to our clinic! Whether you’re due for a check-up, need treatment, or are looking to enhance your smile, our friendly team is here to help.
Contact us today to book your first appointment—we look forward to meeting you!

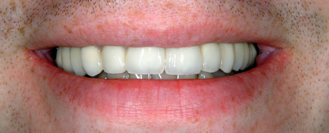
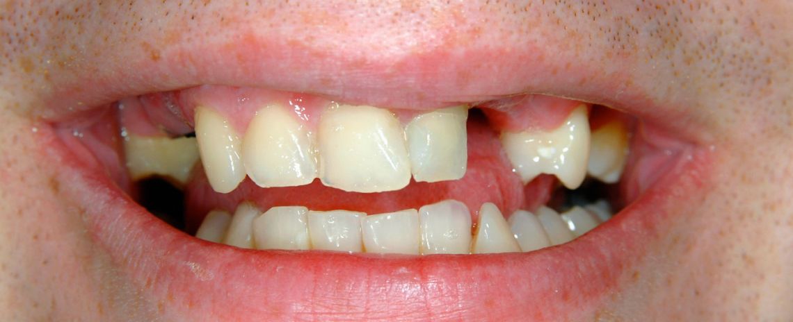
Dentures

Dentures are used to replace the function and appearance of natural teeth and restore your smile. Whether you are missing one tooth or many, we can carefully design a solution that’s right for you.

At Dental Health Private Dental Clinic our dentures are durable and long-lasting, enable you to eat more foods and chew more easily, and help avoid further tooth loss.

Your dentist will work alongside a team of experienced clinical dental technicians to carefully craft bespoke, natural dentures designed for your comfort, function and longevity.

Made from the highest quality acrylic resin using next-generation digital design and production tech, Dentures from Dental Health Private Dental Clinic are the ultimate non-permanent solution to missing teeth. This master craftsmanship and premium materials ensures each set of dentures is indistinguishable from beautiful natural teeth.

We offer a range of dentures to meet your individual needs:

Dentures Video
Play
Partial Dentures Video
Play

Full dentures

Full dentures from Dental Health Private Dental Clinic in Southampton are carefully designed for a millimetre perfect fit, ensuring a comfortable and non-slip fit for years to come. They are the recommended option for replacing a full row or arch of teeth. Our full dentures are designed to look and function just like natural teeth.

Partial dentures and overdentures

When missing teeth cause a gap in the smile, partial dentures, or overdentures, are a functional, lifelike replacement. We offer an extensive range of materials and colour options to match partial dentures to your existing teeth. They are an effective and reliable way to restore both function and aesthetics and give you your confidence back.

Implant-retained dentures

For the ultimate in comfort and convenience, ask your Dental Health Private Dental Clinic dentist about implant-retained dentures. With this solution your denture is secured in place using one or several secure titanium implants in the jaw. These securely anchoring your denture in place so you no longer have to worry about slippages, discomfort and the daily fight with adhesive.

If you are looking for dentures in Southampton, West End, Portsmouth and Chichester and want to know more about your options, get in touch to arrange a consultation at Dental Health Private Dental Clinic.

Dentist

Johann Havenga

Johann is very passionate about dental education and has spent hundreds of hours over the last 27 years with some of the best dental educators in the world. Nothing makes him happier than seeing a smile transformed. When you’re investing in something as important as your smile, you want to know that the team you choose values it as much as you do. Restoring or enhancing your smile needs to...

Johann Havenga
Patient Reviews

People are talking about us

The biggest complement we receive is when our patients refer their friends and family to Dental Health Private Dental Clinic. In fact, we have built much of our practice on these valued, trusted recommendations over the years. Read our reviews to hear why our patients are recommending us…

Patient reviews

578 Reviews

5.0

27th October 2025

The staff and general cleanliness is appealing. Smiles on faces and generally always helpful

24th October 2025

Not great but necessary,but made comfortable by the dentist.

23rd October 2025

As soon as l walk through the door l am made to feel welcome by the friendly reception team and the waiting area is very pleasant. Hygienist, dentist and nurses are all equally friendly. All are professional and l feel confident that l am receiving the best possible treatment. In particular, Sherry is an amazing dentist, very thorough and takes time to listen to any concerns and explains options for any issues found, l completely trust her and she has a lovely gentle manner. Can't rate the practice highly enough.

JG

Jen Gomm

A very friendly, helpful and reassuring appointment - thank you all.

9th October 2025

I’ve been with this practice for many years. Great service always

9th October 2025

Long term patient at this clinic- always hay with treatments

8th October 2025

Everyone polite and efficient

3rd October 2025

Professional, courteous staff who also out me at ease. Didn’t have to wait long before I was called in. Reception staff were also very nice and efficient.

28th September 2025

The staff at the practice

18th September 2025

Very relaxed feeling.

16th September 2025

I am a nervous patient and the staff at this clinic have been incredibly kind and patient. Paula and Sherry particularly so- but also the lady hygienist I have seen there has been wonderful too - I wouldn’t go anywhere else now.

MS

Mrs M Shepherd

Great experience! Thorough check with great advice, and the hygienist clean was brilliant!

12th September 2025

Very polite and pleasant staff. Explained check up and hygiene procedure. Not kept waiting.

12th September 2025

I have been a patient for over 20 years. Staff are friendly, professional and helpful

12th September 2025

Im someone who spent my life in fear and avoided dentist, then I found this one and I no longer fear going, my dentist Johann is amazing and shows so much care and never once judged me for the state my teeth were in I have so much trust in him and the dental health practice, ive had many extractions now and bottom dentures fitted and im really happy with the progress towards getting a nice smile and hopefully some confidence, so thank you for everything

9th September 2025

Both the hygienist and dentist were friendly, professional, effective, and efficient. My query was dealt too and put my mind at ease.

DW

Debra Wyeth

A great dental experience had here. The hygienist and dentist were most helpful in ensuring my teeth are in perfect condition going forward.

29th August 2025

Everyone is super friendly. I wasn’t left to wait long and was actually seen before my appointment was due to start. It’s very easy to find and plenty of parking. My dentist is very welcoming and knowledgeable. There isn’t anything I would have changed about my appointment and will definitely be back.

EW

Elouise Waterman

A very lovely dentist indeed. It’s a nice clean, tidy and welcoming setting. The receptionist’s are always super friendly. I have always been seen promptly and never left waiting around. Johann is also very professional and knowledgeable. He has a welcoming and calm presence and is always very thorough and leaves me satisfied that he has done a good job. Would definitely recommend!

27th August 2025

I’ve had a crumbling tooth for years it has been built up nicely

Prev Previous
Next Next